1. This site uses cookies. By continuing to use this site, you are agreeing to our use of cookies. Learn More.

Crash and injuries discussion (posts moved from another topic)**GORE WARNING**

Discussion in 'Multistrada' started by Biot, Feb 12, 2014.

  1. Got to agree there Andy.
    People I know are heavily involved with SERV, infact one of the guys in our club is the surrey and south london groups chairman.

    SERV – Blood Bikes
    What amazes me is some w@nker stole one of the blood bikes last month !! :eek::frown:
     
    • Like Like x 1
  2. I am a blood biker and my wife is a controller with SERV Wessex, which was formed from Hampshire, Wiltshire and Dorset becoming one region. We operate an everyday out of hours service and give our time and often bikes and fuel freely. We work with other groups such as freewheelers to cover virtually the whole of the UK.

    one day I hope to have helped a fellow biker, but know children and other needy people receive life saving blood products at no cost to the hospitals.

    i have read most of the posts above a bit slack jawed.

    ride safe everyone.
     
    • Like Like x 2
  3. I have a few after accident pics to.
    DSC00453.jpg DSC00455.jpg DSC00468.jpg DSC00470.jpg DSC00471.jpg DSC00474.jpg DSC00506.jpg DSC00482.jpg DSC00483.jpg

    DSC00453.jpg

    DSC00455.jpg

    DSC00468.jpg

    DSC00470.jpg

    DSC00471.jpg

    DSC00474.jpg

    DSC00506.jpg

    DSC00482.jpg

    DSC00483.jpg
     
  4. heres a friend of mine over the mountain at cadwell…..he is the third bike…….his son is the second bike….

    THE BIG ONE avi - YouTube

    HE BROKE COLLAR, SHOULDER, RIBS X 3 ,CONCUSSION AS WAS KNOCKED OUT, THE SON BROKE HIS ANKLE
     
  5. Lightweights, try breaking tibs and fibs in both legs(open), foot and two vertebrae amongst other injuries in one go!
     
  6. Any pics?
     
  7. Fooking hell, who said track days were safer than the road!?..........I wonder if the guy in panic mode ending up with the turned over 'stoppy' might have actually made it through if he'd been able to make himself ease off on that front brake.

    Did you see my reply? ;-)

    OUCH!........how are you faring now, any permanent 'after effects' ?
     
  8. We had some scumbag steal the sat nav off one of the bikes too. If you feel like a ride out early season come to Prescott Bike Festival Prescott Bike Festival | Severn Freewheelers EVS | Bike Festivals 6th April to support NABB and SevernFreewheelers.
     
  9. Like YMFB (Steve) I help out with SERV Blood riders, albeit only since September 2013, as I wanted to try to give something back in my small way and IMHO these guys and gals are a brilliant example of doing something worthwhile + meaningful.
    Seeing all of these picture of some of the incidents you people have gone through is absolutely mind-boggling and leaves me actually quite lost for words.
    My comparatively lightweight biking incidents are left totally in the shade here, I am delighted to be able to honestly say, but one fact is certain.
    The wives, partners, sons, daughters, families and friends who have all supported you throughout these ordeals all merit our complete admiration for what they have done putting up with our and your biking antics :upyeah:
     
    • Like Like x 2
  10. Wow, I just read this thread and can only say how unbelievable it is for some of you to go through something as traumatic as that. I am glad you are all recovering, and it is sobering to read as a reminder of how fragile we are sometimes when it goes wrong.

    It reminded me of this accident footage I saw recently, of one of the famous riders on the MTB scene, who had a really innocent looking crash. He has posted this up as an appeal to the riding community to learn more about accidents and first aid. Which is an admirable cause. It also reminds everyone how fragile the body is, as well as how many times people manage to walk away from the remarkable (Marquez anyone??!! ffs).

    Watch it if you feel up to it. He severs the phemeral artery in his leg when his pelvis breaks. He doesn't even know at first or realise what is happening. His mates save his life with the most remarkably calm first aid in unbelievable circumstances. He is in the middle of bloody nowhere when this happens, in a race on Reunion island. He is hard as nails. Cedric Gracia’s ‘Mega’ Crash | Dirt

    For as ghastly as some of these stories and pictures are, sometimes they are also rather life affirming.

    Go carefully out there people, but don't forget to live your lives either. Life is risk. But it's not always easy.....
     
    • Like Like x 4
  11. You know who loves you, when they are clearing the mess off yer arse and emptying the piss bottles for you.
     
    • Like Like x 3
  12. That is one seriously lucky fella! :eek: Anyone watched 'Blackhawk Down'? There's a pretty realistic scene in that film where stopping a guy 'bleeding out' due to a severed femoral artery doesn't work out. Mr Gracia's mates did a pretty good job there by the looks of it.
     
  13. Yep.
     
  14. The guy in the vid was lucky, not just that he and his mates had some idea of what to do but in that it was an open would i.e. obvious that he had a serious problem.
    Pelvic fractures can result in a damaged/severed Femoral artery and there may be no open wound............Pelvic fractures are fairly common in bike crashes!

    i.C.A.R.E. First Aid for Motorcyclists course (used to be FBoS, First Bike on Scene)
    Contact your local Road Safety Partnership or local IAM/RoSPA group if you're interested ;-)

    We've touched on the 'there but for the grace of god....' aspect of bike crashes and acknowledged that our family go through trauma of a different kind as well but we've not mentioned a very important group......

    ....those that didn't make it! :frown:
    Over the years I've known a couple of guys that have been killed plus at least a couple more friends of friends.
    RIP guys.

    Motorcyclists account for just 1% of road users..................but 20% of accident statistics!

    As said above.....Go carefully out there people......but don't forget to live your lives either. :upyeah:
     
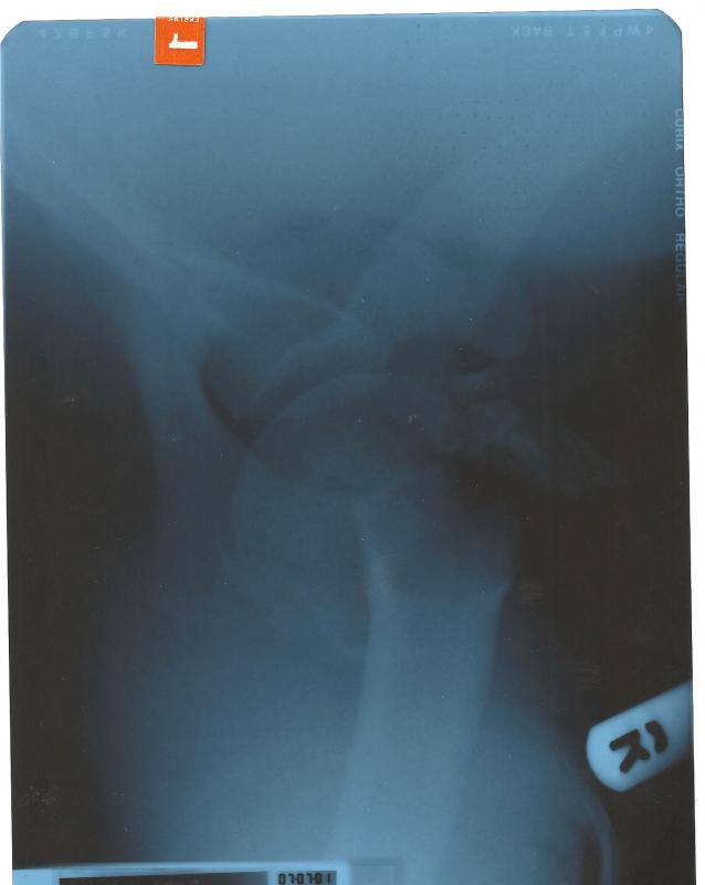
  15. Here's my worst one. I snapped my 916 in half, broke my neck, hip, elbow and shoulder. I've had better days. :rolleyes:

    Poorly 916
    wrecked 2.jpg

    Elbow
    Elbow.jpg

    Shoulder. or what was left of it.
    Shoulder.jpg

    wrecked 2.jpg

    Elbow.jpg

    Shoulder.jpg
     
  16. Isn't it amazing what we can survive?!..........now-a-days anyway with the help of the super medical services available.

    How are you doing now?
     
  17. Fine thanks Andy.

    This was back in 2001, so a while ago now. I just have the scars of 7 operations on my elbow and shoulder to show for this now. I've been told I'll probably get arthritis in my shoulder at some point, but nothing so far, fingers crossed.
     
  18. Result! :biggrin:
     
  19. It's good to know you can still cross your fingers :upyeah:
     
    • Like Like x 1
Do Not Sell My Personal Information